White Spots on Your Teeth? Learn How ICON Treatment Could Save You Thousands Over Veneers

Esthetic and Photographic Analysis of a Smile with Enamel Hypomineralization

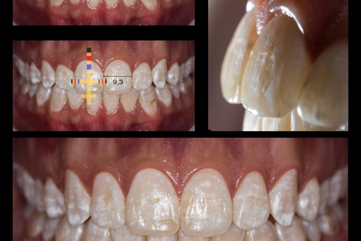
Have you caught a glimpse of mysterious white spots dotting your teeth in the mirror? These chalky patches aren’t just a cosmetic nuisance. They’re often the earliest visible sign of enamel demineralization, a condition where your tooth’s protective outer layer begins to break down. The good news is you don’t have to live with these marks or resign yourself to expensive cosmetic procedures to hide them.

While traditional solutions like cosmetic dentistry procedures have long offered ways to mask these imperfections, a revolutionary treatment called ICON (Infiltration Concept) is changing how we approach white spot correction. This minimally invasive option can eliminate white spots without drilling, anesthesia, or the hefty price tag that comes with veneers. Understanding your choices could save you thousands of dollars while preserving your natural tooth structure.

What Causes White Spots on Your Teeth?

White spots develop when minerals leach from your enamel, leaving behind porous areas that appear lighter than the surrounding tooth surface. This demineralization happens for several reasons.

  • Braces wearers frequently notice these spots after orthodontic treatment, as brackets and wires can make thorough cleaning difficult, allowing plaque to accumulate.
  • Poor oral hygiene, excessive fluoride exposure during childhood, and certain medical conditions can also trigger their formation.

The spots may seem purely aesthetic, but they signal weakening enamel. Left untreated, these areas can progress into cavities. Early intervention protects your tooth’s structural integrity while addressing the cosmetic concern.

How ICON Treatment Works

ICON treatment represents a breakthrough in resin infiltration technology. The procedure takes about 30 to 45 minutes and requires no numbing or drilling. Your dentist applies a special conditioning gel to the white spot, which opens the pores in the demineralized enamel. After rinsing and drying, they infiltrate the area with a tooth-colored resin that fills the microscopic spaces where minerals have been lost.

The resin blends seamlessly with your natural tooth color, making the white spot disappear. Because the treatment preserves your existing tooth structure, you maintain the full strength and health of your enamel. Most patients see immediate results with just one visit, though some cases may require a follow-up appointment for optimal outcomes.

Understanding The True Cost of Veneers

Veneers offer a beautiful solution for various cosmetic concerns, but they come with significant considerations. A single veneer typically costs between $1,000 and $2,500, depending on the material and your location. If you have multiple white spots across several teeth, you’re looking at a substantial investment.

Beyond the initial expense, veneers require removing a thin layer of enamel from your tooth’s surface to create space for the porcelain or composite shell. This process is irreversible. Once you commit to veneers, you’ll need to maintain them for life, as porcelain veneers last around 10 to 15 years before requiring replacement. That means additional costs down the road, potentially reaching $10,000 or more over several decades for just a few teeth.

Why ICON Treatment Offers Better Value

ICON treatment typically costs between $150 and $500 per tooth, making it significantly more affordable than veneers. The procedure doesn’t require any removal of healthy tooth structure, which means your natural enamel remains intact. This conservative approach aligns with modern dentistry’s focus on preserving as much natural tooth as possible.

The treatment works best for white spots caused by demineralization rather than genetic enamel defects or certain types of fluorosis. During your consultation, we can determine whether your white spots are good candidates for ICON. For many patients, this technology provides the perfect balance of effectiveness, affordability, and tooth preservation.

Why Choose Winchester Dental Group in Temecula for Your White Spot Treatment

Finding the right dental practice for cosmetic concerns requires more than just technical skill. You need a team that combines advanced training with genuine care for your comfort and goals. At Winchester Dental Group in Temecula, we’ve built our reputation on staying current with the latest dental innovations while maintaining the personalized touch that makes every visit feel welcoming.

Dr. Matthew King brings over eight years of focused experience in comprehensive dental care, consistently pursuing continuing education to master emerging technologies like ICON treatment. Dr. Andrew Arriola has dedicated more than 25 years to serving the Temecula Valley community, building lasting relationships with patients who trust him for everything from routine cleanings to complex restorative procedures. Together, they lead a team committed to helping you make informed decisions about your oral health.

We understand that dental care costs matter. That’s why we accept most major PPO insurance plans and work with you to maximize your benefits. Our comfortable office environment puts nervous patients at ease, and we take time to explain each treatment option thoroughly so you can choose the path that feels right for you.

Experience the Winchester Dental Group in Temecula Difference With ICON Treatment Today

At Winchester Dental Group in Temecula, we stay at the forefront of dental innovations to offer you the most effective and conservative treatment options available. Dr. Matthew King brings over eight years of experience in dentistry, while Dr. Andrew Arriola has served the Temecula Valley community for more than 25 years. Together, our team combines cutting-edge technology with personalized, compassionate care to help you achieve your healthiest, most confident smile.

We accept most major PPO dental insurance plans, making quality care accessible and affordable. Whether you’re dealing with white spots from past orthodontic treatment or other causes, we’ll evaluate your unique situation and recommend the treatment approach that best suits your needs and budget. Don’t let white spots diminish your confidence. Schedule your consultation today to discover how we can restore the natural beauty of your smile.

Dental Content Reviewed by

Dr. Matthew King is known for his commitment to personalized, compassionate dental care at Winchester Dental Group in Temecula. With over 4 years of professional experience, Dr. King continues advancing his expertise through ongoing education. Providing comprehensive dental services to meet all oral health needs may be Dr. King’s profession, but prioritizing patient-centered care and helping his community achieve optimal oral health is his passion.

Scroll to Top

Team

Our Services

Patient Resources

Contact

Patient Resources